Энхондрома является доброкачественным новообразованием, возникающим в результате активного бесконтрольного деления хрящевых клеток в трубчатых костях, реже — во внутренних органах, в частности легких, молочной железе, головном мозге. Лечение энхондромы в Израиле проводится по схеме, составляемой с учетом результатов обследования пациента группой врачей, в состав которой входит как ортопед, так и узкопрофильные специалисты. Точная диагностика и успешное хирургического удаление новообразования, инновационные малоинвазивные методы приблизительно в 93% случаев обеспечивают позитивный прогноз и приводят к полному выздоровлению.
В случае рецидивирования заболевания повышается вероятность его озлокачествления, в силу чего израильские хирурги настоятельно рекомендуют проведение хирургического лечения как можно скорее после диагностирования патологии. Для того чтобы поставить верный диагноз, необходимо провести полное обследование больного, в кратчайшие сроки выполняющееся на современном оборудовании. Разрабатывая лечебную программу, врачи располагают подробной информацией о наличии опухоли, ее особенностях, что помогает подобрать эффективные способы терапии. Оставляемые пациентами отзывы, изучение которых играет не последнюю роль при выборе клиники, подчеркивают результативность и доступную стоимость лечения, высокий уровень комфорта.
Как проводится лечение заболевания
Энхондрома является участком хряща, расположенного в зоне, в которой в норме подобная ткань не выявляется. Чаще всего новообразование развивается в костях, однако у некоторых пациентов оно обнаруживается в молочной железе, легких, мозговых тканях. Более, чем в половине случаев патология диагностируется у пациентов младше сорокалетнего возраста, причем чаще всего оно встречается у подростков. Даже при условии низкого темпа роста и незначительного риска злокачественного перерождения, онкологи относят энхондрому к числу потенциально злокачественных онкообразований и рекомендуют ее хирургическое удаление.

Локализация хряща в нетипичном месте обусловлена происходящим во время внутриутробного развития нарушением процесса окостенения. Причины, в результате которых это происходит, неизвестны. Рост новообразования стимулируется при травмах и развитии воспаления в костной ткани.
Чаще всего энхондрома протекает бессимптомно и обнаруживается при обращении к врачу и прохождению обследования по поводу другой проблемы. Опухоль, успевшая достигнуть больших размеров, оказывает давление на расположенные поблизости нервы и кровеносные сосуды. На этом этапе пациент начинает испытывать боли, ограничение свободы движений, безболезненное новообразование без труда прощупывается.
Пациентам, у которых не выявлены признаки прогрессирования заболевания и отсутствуют симптомы, возможна замена специфического лечения врачебным наблюдением с регулярным прохождением полного обследования. В случае заметного увеличения опухоли и при появлении клинических признаков рассматривается вопрос о ее скорейшем оперативном удалении. В зависимости от индивидуальных особенностей пациента используются определенные виды хирургических операций.
Кюретаж
Малоинвазивная хирургическая процедура, при которой максимально сохраняется целостность нормальных тканей, показана при вовлечении в патологический процесс глубоких слоев костной ткани. Через произведенное в кости небольшое отверстие врач выскабливает ткани новообразования. Образовавшаяся после операции полость заполняется медицинским цементом, при застывании выделяющим тепло, что вызывает разрушение оставшихся патологически измененных клеток.
Удаление участка кости
Для предупреждения рецидивирования и озлокачествления большая энхондрома удаляется в сочетании с фрагментом здоровой костной ткани определенного размера. В недалеком прошлом в таких случаях обязательно проводилась ампутация конечности. На сегодняшний день в клиниках Израиля опухоль успешно удаляется при помощи органосохраняющих малотравматичных операций.
Для восстановления нарушенных при удалении большого фрагмента кости двигательных функций устанавливается искусственный имплант. Раньше при этом использовался аппарат Илизарова, который сейчас заменен в Израиле новейшей системой Precice. Если спустя какое-то время необходимо изменить длину вживленного в костный мозг импланта, это возможно выполнить без хирургического вмешательства.
Криохирургия
Метод, основанный на замораживании, которое достигается обработкой патологического очага жидким азотом. На первом этапе процедуры хирург удаляет визуально определяемые опухолевые ткани, а затем обрабатывает операционное поле хладагентом. В целях устранения образовавшейся полости проводится пересадка костной ткани пациента, предварительно полученной из нормальной кости.
Лечение рецидива
Развитие рецидива опухоли опасно тем, что в этом случае существенно увеличивается вероятность злокачественного перерождения. Для того, чтобы в значительной степени воспрепятствовать рецидивированию после хирургического удаления энхондромы пациенту назначают химиотерапевтический курс и облучение. Применяемые в Израиле химиопрепараты отличаются низкой токсичностью и мягко воздействуют на организм, тем самым, не становясь причиной ухудшения самочувствия. Для соблюдения максимальной безопасности пациента сеансы радиотерапии проводятся на новейших установках, обеспечивающих ограниченное облучение всей патологической зоны, без затрагивания окружающих тканей.
Как проводится диагностика заболевания
Обычно диагностирование энхондромы не вызывает у специалистов затруднения, и в Израиле осуществляется не более, чем за три дня.
Первый день
На первый день пребывания пациента в стационаре назначается консультация лечащего ортопеда, на которой врач знакомится с больным, изучает его историю, собирает подробный анамнез. После поверхностного осмотра специалист направляет пациента на необходимые обследования.
Второй день
Прохождение назначенных диагностических обследований:
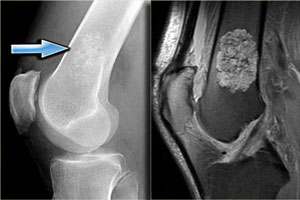
- рентгенографии — на рентгеновских снимках четко определяется новообразование, отображается ряд его особенностей;
- КТ, МРТ — высокоточные методы, показанные для исследования неоплазий, развившихся в плечевых и тазовых костях, позвоночнике, позволяют на любой стадии развития опухоли получить подробную информацию о ее структуре, темпах роста;
- биопсии — процедура получения образцов патологически измененных тканей для их лабораторного гистологического исследования;
- радиоизотопного сканирования — более точный метод выявления и исследования костных новообразований, показан при подозрениях на прогрессирование патологии.
Третий день
Полученные показатели изучаются консилиумом в составе ортопеда и узкопрофильных специалистов, которые, после их анализа, приходят к коллегиальному решению по поводу диагноза и схемы терапии.
Сколько стоит терапия заболевания
Наряду с качеством лечения, зарубежных пациентов интересует и его цена. Терапия в клиниках Израиля стоит приблизительно на 30% меньше, чем в европейских странах, и обеспечивает экономию примерно 50% суммы, требующейся в США.
Преимущества лечения в Израиле
- Компетентность врачей, многие из которых пользуются мировой известностью.
- Наличие современной лечебно-диагностической аппаратуры.
- Профессиональное проведение малотравматичных операций.
- Прогрессивные методики восстановления кости.
- Доступные цены.
Для того, чтобы выздороветь и избежать развития серьезных осложнений необходимо вовремя пройти полноценный курс терапии. Не упускайте время, выбирайте клинику и доверяйте свое здоровье ведущим специалистам мира.

































