Хондромиксоидная фиброма является очень редкой доброкачественной опухолью кости, состоящей из хрящеобразующей ткани. Комплексное лечение хондромиксоидной фибромы в Израиле ежегодно проводится огромному числу зарубежных пациентов и примерно в 95% случаев обеспечивает выздоровление. Обязательным условием успеха является прохождение полноценного терапевтического курса на начальном этапе заболевания. Популярность Израиля объясняется участием в лечебном процессе высококвалифицированных опытных врачей, наличием современного лечебно-диагностического оборудования, результативностью проводимой терапии.
Несмотря на то, что при заболевании озвучивается позитивный прогноз, существует вероятность рецидивирования и перерождения в злокачественную хондросаркому. Именно поэтому рекомендуется начинать лечение незамедлительно после диагностирования патологии. Для постановки диагноза требуется оперативное обследование пациента. На представленной в клиниках Израиля высокоточной аппаратуре возможно буквально за несколько дней выявить опухоль и описать ее признаки. Все виды диагностических и лечебных процедур выполняются в максимально комфортных условиях, что подтверждают отзывы пациентов. Также подчеркивается доступная стоимость медицинских услуг.
Как проходит лечение заболевания
Хондромиксоидная фиброма встречается крайне редко, обычно развиваясь в длинных трубчатых костях, у отдельных пациентов выявляясь в ребрах, тазовых и черепных костях, позвонках. Стимулирующие опухолевый процесс причины не установлены. Быстрый рост доброкачественной опухоли и выраженные симптомы, в основном, проявляются у детей, тогда как у взрослых пациентов патология может протекать бессимптомно. Несмотря на положительный прогноз, существует вероятность рецидивирования и малигнизации (озлокачествления).
Пациенты жалуются на различной интенсивности боль при движении и в покое, мышечную слабость, ограничение подвижности ближайшего к патологическому очагу сустава.

Как и во всех государствах с развитой сферой медицины, в Израиле лечение данного онкозаболевания в обязательном порядке предполагает хирургическое удаление новообразования. Принимая во внимание вероятность малигнизации, израильские онкологи рекомендуют скорейшее проведение терапии.
Хирургическое лечение
В зависимости от стадии развития и других особенностей онкообразования для его устранения применяются различные методы хирургических процедур.
- Краевая резекция зоны поражения — этот способ чаще всего выбирается в силу своей эффективности и безопасности. При выполнении операции вовлеченная в опухолевый процесс костная ткань иссекается, при этом сохраняется целостность кости. Удалению подлежит опухоль и неизмененные ткани в радиусе 5 миллиметров и более от нее. Размер отступа определяется индивидуально и в большой степени зависит от расположения онкообразования в определенной кости. Резекция окружающих нормальных тканей направлена на устранение единичных патологически измененных клеток, которые сохранились после вмешательства. Таким образом предупреждается развитие рецидива опухоли.
- Кюретаж — патологический очаг выскабливается кюреткой, в результате чего в кости образуется небольшое углубление. В Израиле таким образом опухоль удаляется редко, поскольку он не особо надежен, и велика вероятность сохранения после операции жизнеспособных патологических клеток, что приводит к рецидиву.
- Реконструктивная пластика — при необходимости удаления большого фрагмента и образовании объемного послеоперационного дефекта показана аутогенная или аллогенная трансплантация костной ткани. Процедура аутотрансплантации заключается в пересадке костной ткани, полученной у самого пациента. Одним из основных преимуществ этого метода является отсутствие отторжения и быстрое приживление. При аллотрансплантации проводится пересадка донорского материала, получение которого не требует проведения еще одной операции.
После успешного проведения операции пациент в течение приблизительно недели находится в клинике. Для восстановления утраченной подвижности больной после выписки направляется на прохождение реабилитации по специально составляемой программе. В нее входят различные виды физиопроцедур, лечебная гимнастика, направленная на укрепление костно-мышечного аппарата, улучшение координации.
Радиотерапия
В результате дистанционного облучения опухолевого очага уменьшается его размер, купируются беспокоящие пациента симптомы. Однако сеансы лучевой терапии включаются в схему лечения очень редко, поскольку радиоактивное облучение существенно повышает риск злокачественного перерождения онкообразования.
Каким бы успешным ни было лечение, нельзя забывать о вероятности развития рецидива опухоли. В связи с этим на протяжении последующих трех лет пациенту необходимо регулярно посещать лечащего ортопеда и проходить назначенные им обследования.
Как проходит диагностика заболевания
Учитывая, что для данного заболевания характерно бессимптомное протекание, очень часто оно обнаруживается случайно, при обследовании по другому поводу. В Израиле в течение, в среднем, трех дней проводится комплексное обследование пациента, помогающее поставить точный диагноз, установить природу онкообразования и дифференцировать его от ряда других заболеваний костно-мышечной системы и хондросаркомы.
Первый день
В первый день пребывания пациента в медицинском центре проводится консультация ортопеда, на которой изучаются предоставленные результаты предыдущих обследований и заключения специалистов, проводится поверхностный осмотр. После сбора подробного анамнеза и уточнения характера проявляющихся симптомов назначаются требующиеся обследования.
Второй день
Выполнение назначенных диагностических процедур:
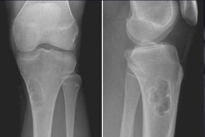
- рентгенографии — проводится с целью выявления онкообразования и определения его особенностей;
- биопсии — получение опухолевых тканей для проведения их гистологического исследования, позволяющего исключить злокачественность и поставить конечный диагноз;
- иммуногистохимический анализ — направлен на определение чувствительности к некоторым белкам и выявление гликогена, наличие которого показательно для данного заболевания.
Третий день
Изучение результатов консилиумом, в состав которого входят ортопед и узкопрофильные специалисты. После изучения показателей врачами коллегиально ставится диагноз и выстраивается схема терапии.
Сколько стоит лечение
Для большинства пациентов одно из решающих значений при выборе страны для лечения имеет его цена. Прохождение терапевтического курса в Израиле дает возможность сэкономить около 30% средств, затрачиваемых в европейских странах, и обходится на 50% дешевле, чем в США.
Преимущества лечения в Израиле
- Компетентные опытные врачи, пользующиеся авторитетом во всем мире.
- Новейшее лечебно-диагностическое оборудование.
- Органосохраняющие и реконструктивные операции.
- Мультидисциплинарный подход к лечебному процессу.
- Демократичные цены.
Использование новейших разработок израильской медицины и фармакологии позволяет успешно побороть болезнь и восстановить здоровье. Не терпите недомогание, связывайтесь с клиникой и помните — ухудшение самочувствия является сигналом организма о необходимости скорейшего лечения.

































