Турция лидирует в мире как наиболее предпочитаемое направление медицинского туризма. Это связано с неизменно высокими стандартами клиник, хорошей подготовкой медицинских работников и прекрасным уровнем здравоохранения в целом. В JCI Турция имеет наибольшее количество аккредитованных больниц (около 50). В общей сложности в стране насчитывается более 580 частных больниц и тысячи государственных больниц, которые имеют отличную репутацию благодаря предоставлению пациентам медицинских услуг исключительного качества.
Из-за высокой численности мультинационального населения Турции и быстро растущего числа иностранных пациентов турецкий медицинский персонал хорошо разбирается в работе с пациентами со всего мира. Турция является одной из первых стран, которые успешно работают с передовыми технологиями, каждая из клиник оснащена современным оборудованием для диагностики и лечения. Турецкие больницы также предоставляют пациентам лучших многоязычных переводчиков и личных сопровождающих, заботятся о комфорте пребывания на лечении и создании благоприятной психологической обстановки. Отзывы о лечении в Турции подтверждают высокий уровень эффективности турецкого здравоохранения.
О заболевании
Кисты средостения являются разновидностью опухоли средостения. Они развиваются в той части грудной клетки, где расположены трахеи, бронхи и бронхиолы. Кисты средостения чаще небольшие и заполнены жидкостью или слизью.
Кисты средостения или бронхогенные кисты являются врожденными, то есть люди рождаются с ними. Симптомы могут появиться в любом возрасте; тем не менее, большинство случаев обнаруживаются, когда людям за 30 или 40 лет. По статистике кисты средостения чаще встречаются у мужчин, чем у женщин.
Хотя кисты средостения обычно не являются раковыми, существует небольшая вероятность того, что со временем они могут стать злокачественными. Из-за этого обычно рекомендуется удаление.
Методы лечения кисты средостения
Для лечения кисты средостения в турецких клиниках проводятся современные торакоскопические операции и традиционные открытые вмешательства. Полное удаление кисты является золотым стандартом, и рецидивы крайне редки.
Торакоскопия
Торакоскопия — это процедура, выполняемая с помощью торакоскопа, тонкой гибкой трубки с источником света и небольшой видеокамерой на конце. Трубка вводится через небольшой надрез, сделанный у нижнего конца лопатки между ребрами. По сравнению с традиционной хирургией, пациенты, перенесшие торакоскопическую операцию с видеоторакоскопией (VATS), испытывают:
- Уменьшение послеоперационной боли
- Более короткое пребывание в больнице
- Более быстрое восстановление и возвращение к работе
Другие возможные преимущества включают снижение риска инфекции и меньшее кровотечение.
Открытая операция
Когда киста расположена в труднодоступном участке, имеет большой размер или врач считает, что такой способ даст лучший результат, проводится открытая операция. При использовании этого метода вскрывается либо грудина, либо межреберье. Выполняя открытую операцию, хирург имеет большую свободу действий, а также возможность более тщательного интраоперационного контроля операционных ран.
Пункционная аспирация
Аспирация иглой при кистах средостения является альтернативным методом лечения. Для того, чтобы киста не рецидивировала выполняется также склеротерапия. В качестве склерозанта чаще всего применяется 96% этиловый спирт. Процедура проводится под УЗИ-контролем.
Медианостомия
Медианостомия — это процедура, при которой инструмент с подсветкой (медиастиноскоп) вводится в пространство грудной клетки между легкими (средостение). Процедура проводится с лечебной и /или диагностической целью под общим наркозом. Небольшой хирургический разрез делается чуть выше грудины. Через этот разрез вводится устройство, называемое медиастиноскопом, и осторожно проводится в среднюю часть грудной клетки. Образцы ткани берутся из лимфатических узлов вокруг дыхательных путей. Затем эндоскоп удаляют, а хирургический разрез зашивают.
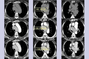
Методы диагностики заболевания
По приезде в клинику пациент попадает на прием к лечащему врачу, который проводит осмотр, изучает историю болезни, составляет полный анамнез, уточняет текущие симптомы. Для того, чтобы поставить точный диагноз и исключить другие патологии, врач назначает дополнительное обследование. Тесты, наиболее часто используемые для диагностики и оценки средостения, включают:
- Компьютерная томография (КТ) с внутривенным введением контрастного вещества
- Анализы крови
- УЗИ
- Игольчатая биопсия или аспирационная биопсия или пункционная биопсия под контролем КТ
- Рентгенограмма грудной клетки
- Магнитно-резонансная томография (МРТ) грудной клетки
- эзофагоскопия
- Бронхоскопия
- Биопсия
По готовности результатов обследования собирается медицинский консилиум, на котором эксперты смежных специальностей коллегиально рассматривают полученные данные и выбирают наиболее релевантную схему лечения. Подобный подход позволяет в значительной степени улучшить прогноз и избежать ненужных назначений и ошибок.
Сколько стоит лечение
Точная стоимость лечения не может быть рассчитана заранее. Каждый клинический случай уникален и требует индивидуального подхода. Цена зависит от сложности лечения, общего состояния пациента, необходимости проведения тех или иных лечебно-диагностических мероприятий, которые от случая к случаю отличаются.
Однако вы можете получить актуальный прайс на возможные процедуры. Для этого обратитесь к нашему медицинскому консультанту по номеру телефона, указанному на сайте. Он поможет выбрать клинику, соответствующую вашим требованиям, и вышлет примерный расчет цен.
Преимущества лечения в Турции
В 2021 году около миллиона иностранцев посетили Турцию только для того, чтобы воспользоваться превосходным медицинским обслуживанием и услугами по уходу. В целом 32% пациентов страны – медицинские туристы!
Вот основные причины популярности турецких клиник:
- В стране доступная и хорошо развитая система здравоохранения.
- Здесь самое большое количество больниц, аккредитованных JCI.
- Турецкие клиники отлично оборудованы современной медицинской техникой.
- Значительная часть турецких врачей проходят обучение и стажировки в Европе и Америке.
Если вы хотите получить консультацию турецкого врача, обратитесь в наш контакт-центр, медицинский консультант поможет организовать прямую связь с лучшим специалистом в области лечения кист средостения.






