В последние годы Турция уверенно входит в число стран, лидирующих по популярности у медицинских туристов. Зарубежных пациентов привлекает высокая результативность лечебного процесса, международный уровень подготовки врачей, комфортные условия и разумная цена оказываемых услуг. Лечение медуллобластомы в Турции разрабатывается и выполняется профессиональными онкологами и нейрохирургами, по комплексной программе, в которую входят современные хирургические и консервативные методы. Учитывая, что чаще всего эта опухоль развивается в детском возрасте, большое внимание уделяется подборке наиболее щадящих способов терапии и препаратов. Отзывы родителей маленьких пациентов также отмечают большую помощь детских психологов.
Улучшить прогноз и добиться продолжительной ремиссии возможно только при выявлении опухоли и проведении адекватного лечения на ранних стадиях. Высокотехнологичная аппаратура турецких диагностических центров, использование новейших исследовательских методик позволяют в сжатые сроки поставить точный диагноз и подобрать максимально безопасные методы терапии. За считанные дни удается выявить онкообразование, установить его признаки, оценить степень распространения процесса и состояние отдаленных внутренних органов. Эффективность терапии также определяется мультидисциплинарным подходом — участием в лечебном процессе группы высококвалифицированных специалистов.
Методы лечения заболевания
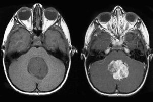
Медуллобластома является высокозлокачественной опухолью, развивающейся при патологических изменениях медуллобластов и локализованной в черве или полушариях мозжечка. От других онкозаболеваний мозговых тканей отличается быстрым метастазированием, которое осуществляется по ликворным путям.
Причины возникновения заболевания не выяснены, факторами риска выступают отягощенная наследственность, воздействие физических и химических канцерогенов, некоторые вирусные инфекции.
Разрастание онкообразования вызывает блокирование путей оттока ликвора и нарушение циркуляции цереброспинальной жидкости. Вследствие этого внутричерепное давление пациента возрастает до высоких показателей.
Симптомы медуллобластомы достаточно вариабельны. Поскольку опухоль поражает мозжечок, у пациента развивается мозжечковая атаксия с резким нарушением равновесия и координации движений. Вовлечение в опухолевый процесс ствола мозга вызывает резкое ухудшение самочувствия, расстройства гемодинамики, нарушения дыхания. Пациенты жалуются на головную боль, тошноту и рвоту, дезориентацию, раздражительность.
В отличие от других первичных опухолей головного мозга, медуллобластома распространяется за пределы центральной нервной системы, метастазируя в легкие, печень, кости.
Схема терапии строится на основании результатов обследования пациента и включает хирургическое удаление опухоли в комплексе с консервативными методами.
Хирургическое лечение
Оперативная резекция онкообразования выполняется с помощью современного нейрохирургического инструментария, обеспечивающего максимальную точность действий и малую травматичность. Поскольку удаление опухоли усложняется ее рыхлой структурой, используется специальный инструмент, всасывающий патологические ткани, не повреждая окружающие нормальные. Контроль за ходом операции осуществляется с помощью интраоперационного томографа, обеспечивающего МРТ-навигацию.
Радиотерапия
Предоперационное облучение проводится с целью уменьшения размеров большой медуллобластомы, что в значительной степени облегчает ее дальнейшую хирургическую резекцию. После оперативного вмешательства низкодозная радиотерапия способствует разрушению единичных сохранившихся злокачественных клеток и предупреждению развития рецидива, что значительно ухудшает прогноз заболевания. Детям младше трехлетнего возраста лучевая терапия не проводится, вследствие высокой вероятности задержки развития и возникновения необратимых нарушений.
Дистанционная лучевая терапия выполняется на современных линейных ускорителях, с помощью щадящих технологий, предполагающих возможность корректировки направления и дозы радиоактивных лучей в процессе процедуры. Минимальное затрагивание окружающих тканей обусловливает отсутствие выраженных побочных реакций.
Химиотерапия
Положительный эффект оказывает применение комплекса химиопрепаратов, препятствующих делению и росту раковых клеток, обусловливающих некроз тканей первичного онкообразования и метастатических очагов. Химиотерапевтические курсы проводятся в сочетании с облучением, препараты вводятся внутривенно или в спинномозговой канал (интратекально). Применяемые в турецких клиниках низкотоксичные виды химиопрепаратов не оказывают жесткого воздействия и не вызывают выраженных побочных реакций.
Способы диагностики заболевания
В медицинские центра Турции часто обращаются зарубежные пациенты, с неверно поставленным на родине диагнозом. Это объясняется, в первую очередь, выполнением диагностических процедур на устаревшем оборудовании, отсутствием прогрессивных лабораторных методик. В турецких клиниках оперативно проводимые консультации специалистов и обследования позволяют точно установить причины нарушений и разработать тактику лечения.
В день прибытия пациента в страну он проходит первичную консультацию нейроонколога. На приеме врач знакомится с результатами предыдущих исследований, выписками из стационаров, медицинскими заключениями, проводит неврологический и поверхностный осмотры. На основе возникших подозрений назначаются необходимые обследования.
Назначенные диагностические процедуры включают:
- лабораторные исследования крови (общий и биохимический анализы, выявление специфических онкомаркеров);
- визуализирующие исследования — с помощью КТ, МРТ и ПЭТ-КТ удается выявить новообразование, подробно описать его структуру и другие особенности, оценить состояние мозговых структур, обнаружить самые мелкие отдаленные метастатические очаги;
- биопсию с последующим гистологическим анализом полученных образцов опухолевых тканей;
- спинномозговую (люмбальную) пункцию.
Экспертная комиссия в составе онколога, педиатра и узкопрофильных специалистов изучает полученные результаты и на их основании устанавливает диагноз и выстраивает тактику лечения.
Сколько стоит лечение заболевания
Стоимость курса терапии, наряду с качеством лечения, входит в число наиболее интересующих медицинских туристов вопросов. Прохождение лечения в Турции стоит существенно меньше, чем в странах Западной Европы и США.
Преимущества лечения в Турции
- Международный уровень подготовки специалистов.
- Оснащение клиник ультрасовременным оборудованием.
- Прогрессивные методики противоопухолевой терапии.
- Профессиональное выполнение сложнейших нейрохирургических операций.
- Демократичные цены.
Необходимо помнить, что главным условием успешной терапии является ее скорейшее начало. Не медлите, обращайтесь за помощью и смело проходите лечение под руководством высококвалифицированных онкологов и нейрохирургов.






